Póster 109

Ortega Pinto, Eugenia Isabel; Rodríguez Peralto, José Luis; Garrido Ruiz, María Concepción

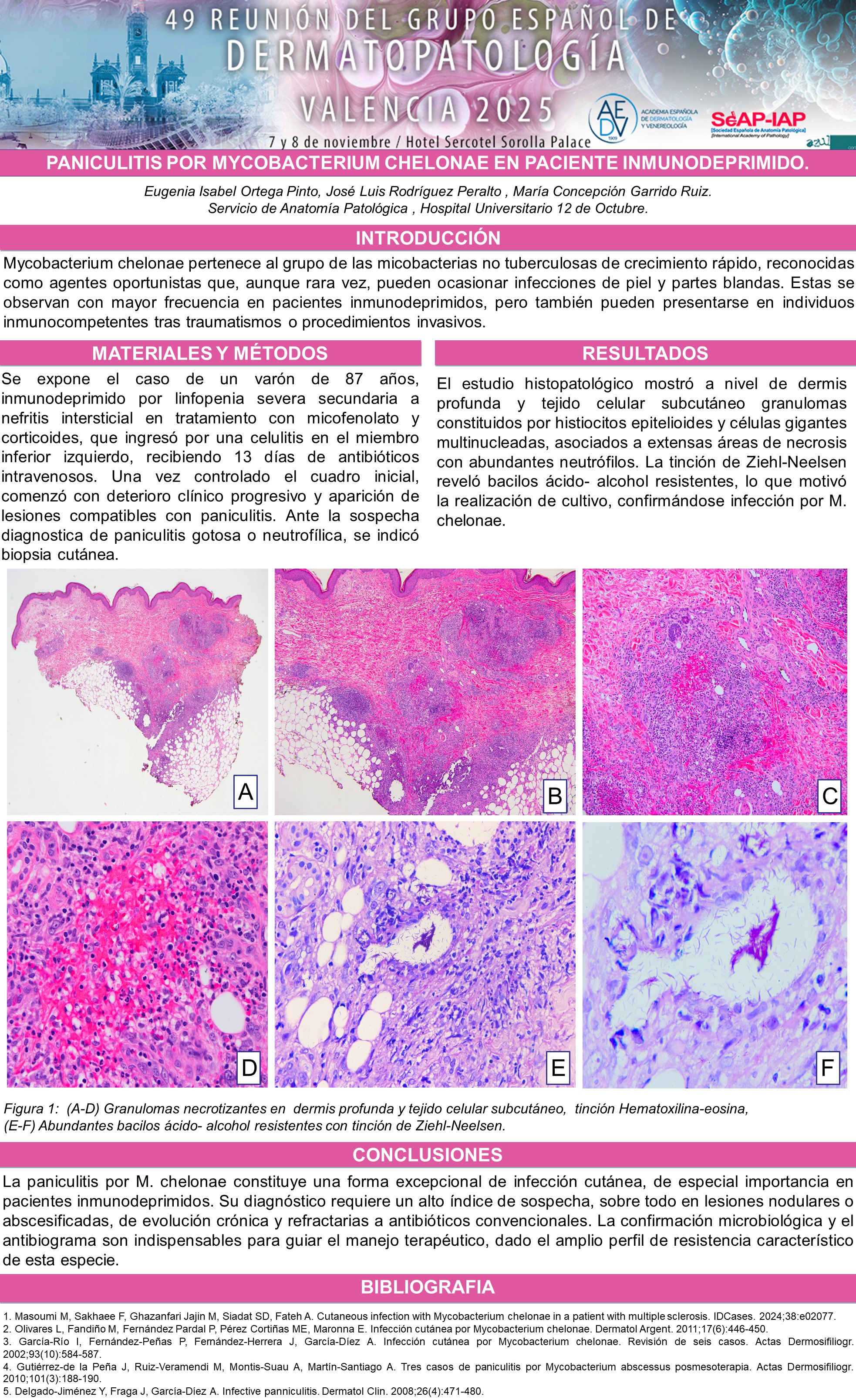
Categoria: Paniculitis, Mycobacterium chelonae, micobacterias

| Visitas 44

Defensa: No

©2026 ONSITE Soluciones e Innovaciones Tecnológicas para Eventos Plataforma de envío y recepción de e-posters digitales